Dental Blog - HANNIBAL, MO
Tips, Facts, And The
Latest In Dentistry

Is It Time To Replace A Missing Tooth With A Dental Implant?

Is it time to replace a missing tooth? Losing one tooth can feel small at first, but it can affect chewing, speech, and how you look. This post will help you decide whether to replace a missing tooth, compare the common options, explain dental implants (including robotic YOMI placement), and outline clear next steps if you choose to move forward.
Why Missing One Tooth Matters
Even a single missing tooth can change how you chew and speak. Nearby teeth can drift into the empty space, causing bite problems and making cleaning harder. Without a root to stimulate the jaw, bone loss begins. Over months and years this can change your face shape and make future tooth replacement harder.
Options To Replace A Missing Tooth
Removable dentures
Removable partial dentures are often the least expensive option. They restore basic chewing and appearance but can feel bulky, move while eating, and do not stop jaw bone loss.
Dental bridges
A bridge uses crowns on adjacent teeth to hold a false tooth in place. Bridges are fixed and stable, but they require grinding down healthy teeth and do not replace the root, so bone loss at the site can continue.
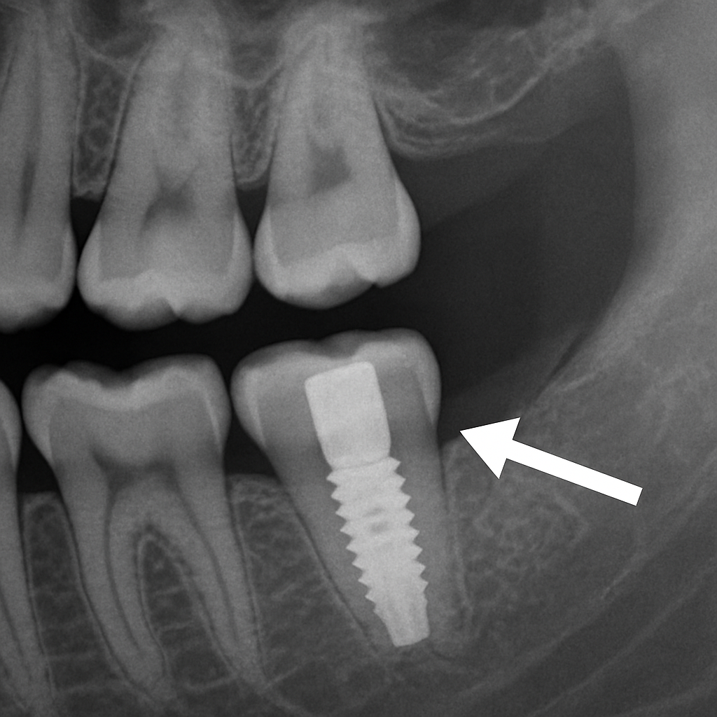
Dental implants
An implant replaces the root and the tooth with a post, abutment, and crown. Implants preserve bone, feel and function like natural teeth, and don’t harm neighboring teeth. For many people who want a long-term solution, an implant is the best way to replace a missing tooth.
Why You Might Choose To Replace A Missing Tooth With An Implant
Implants offer durable chewing, better speech, and a natural look. They slow or stop bone loss by replacing the root. People who want a long-lasting, low-maintenance solution—especially those concerned about adjacent teeth or future bone loss—often prefer implants over bridges or removable dentures.
How Dental Implants Are Placed
Implant placement starts with planning: scans and models help map the site. The implant post is placed into the jaw, then a healing period allows osseointegration (bone fusing to the implant). After healing, an abutment and crown are attached. Most patients have mild discomfort and return to normal activities in a few days; full healing takes a few months.
Robotic-Guided Placement: The YOMI Robot
YOMI robotic guidance assists the surgeon in precise implant positioning. It guides the drill and implant angle based on your scan, which can mean more accurate placement, smaller incisions, and smoother recovery. If you want high precision, ask about YOMI-guided implant placement.
Are You A Good Candidate To Replace A Missing Tooth?
Good candidates have healthy gums, enough bone at the site, and controlled medical conditions. Smoking, uncontrolled diabetes, or certain medications can affect healing. Your dentist will review your health history and scans to confirm suitability.
When bone grafting or other preparatory procedures are needed
If bone has resorbed, a bone graft may be placed before or during implant surgery to build volume. This adds time but often makes implant placement possible and successful.
Cost, Longevity, And Aftercare
Implant cost varies by case, but implants often last decades with proper care—longer than bridges or dentures. Daily brushing, flossing, and regular dental checkups keep implants healthy. Watch for redness, pain, or loosening and report any concerns quickly.
How To Proceed If You Decide To Replace A Missing Tooth
Start with an exam and 3D scans. Ask about the provider’s implant experience, success rates, and whether they use YOMI robotic guidance. Our practice offers YOMI-guided implant placement and experienced implant care. A consult will outline your plan, timeline, and costs. If you’re ready to replace a missing tooth, schedule a consultation to learn whether a YOMI-guided implant is right for you and to get a personalized treatment plan.





